Redactor: Sorina Bujarov

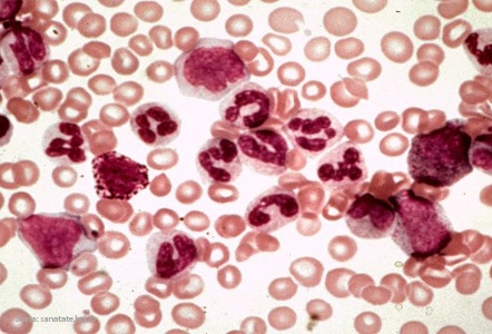
De-a lungul timpului, mai multe cercetări au pus în evidență existența unui risc crescut de leucemie în cazul pacienților care suferă de diabet de tip 2. Însă, cauzele acestei legături au fost demonstrate abia acum de către o echipă de savanți britanici şi francezi. Cercetarea, publicată în revista Nature Genetics, a constat în analizarea ADN-ului sanguin a 7.437 de persoane cu vârsta de peste 50 de ani. Din toţi participanţii la studiu, 2.208 sufereau de diabet de tip2, relatează doctorulmeu.net.

Oamenii de ştiinţă au studiat unele anomalii cromozomiale specifice - numite anomalii clonale în mozaic (ACM). Acestea afectează o mare parte din cromozomi, uneori integral, și apar în ADN-ul celulelor sanguine sau salivare ale persoanelor în vârstă. Aşa deci, s-a constatat că acest tip de anomalii sunt foarte rare la persoanele tinere, pe când 2% dintre persoanele cu vârsta peste 70 de ani le prezintă. Altfel spus, ACM-urile s-au dovedit de patru ori mai numeroase la pacienții atinși de diabet de tip 2, comparativ cu ceilalți participanți. Aceasta, susţin specialiştii, crește de 10 ori riscul de cancer, mai ales hematologic (leucemie). Diabetul este cel care determină apariția acestor anomalii, au concluzionat cercetătorii.

S-a mai constatat că diabeticii purtători ai acestor anomalii cromozomiale prezintă mai multe complicații vasculare decât diabeticii care nu au anomalii clonale în mozaic (ACM).

Descoperirea este destul de importantă, susţine Philippe Froguel, coordonatorul cercetărilor, deoarece poate „avea implicații clinice deosebite, mai ales în ceea ce privește depistarea stadiilor precanceroase în cazul pacienților diabetici. Determinarea anomaliilor de tip ACM ar putea deveni un marker biologic în cazul diabeticilor. Astfel, pacienții ar putea fi tratați de la primele semne de leucemie prin chimioterapie blândă”.

 

Articole relaționate: 

O tânără s-a vindecat de leucemie, dupa un tratament experimental 

Produsele modificate genetic provoacă leucemie și anemie 

Vaccin neconvențional împotriva diabetului de tip 1